Follow Vetluc

Follow Rejoin

Application of ETButton in Intracapsular Fixation for Canine Cranial Cruciate Ligament (CCL) Rupture
2025.02.12

● Basic Information
· Name: Ya Tou
· Breed: Poodle
· Age: 9 years
· Medical History: Bilateral patellar luxation, previously underwent two surgeries, including trochlear groove deepening, tibial tuberosity transposition, and lateral collateral ligament fixation.
· Chief Complaint: Sudden limping during a walk the night before the visit, with the right hind limb unable to bear weight.

Figure 1. Pre-op X-ray


● Diagnosis

· Drawer Test: Positive
· Diagnosis: CCL rupture

● Treatment Plan
Intracapsular fixation using VetLuc ETButton for CCL reconstruction.
1. Establish a bone tunnel.
2. Pass the ETButton through the bone tunnel.
3. Use a tensioner to adjust the knee joint’s range of motion (ROM) to an appropriate level and secure it with a knot.
Trim excess sutures, completing the CCL reconstruction.

Figure 2. ETButton

Figure 3. Product List


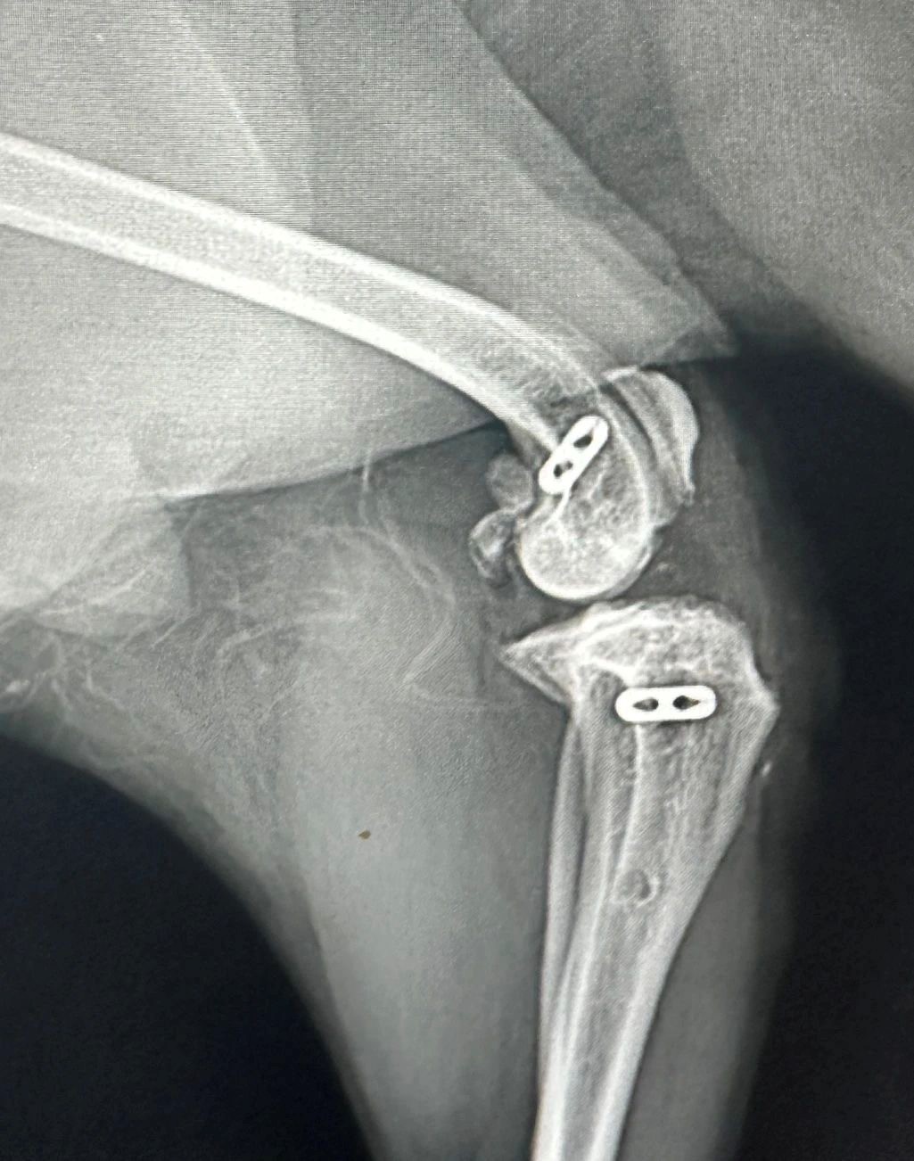
● Post-op Recovery

Figures 4 & 5. Post-op X-rays


● Discussion & Conclusion
ETButton uses ultra-high molecular weight polyethylene (UHMWPE) sutures, a widely adopted material for artificial ligaments, offering:
· High wear resistance
· High tensile strength
· Low friction
· Excellent biocompatibility
Intracapsular fixation mimics the anatomical structure of the cranial cruciate ligament, replacing or reconstructing its function to restore knee joint stability. The use of UHMWPE ensures long-lasting joint stability and reduces the incidence of arthritis.

Acknowledgment
Special thanks to Dr. Ruan Jian for sharing this surgical case.